飼い主様へのお知らせを随時配信していきたいと思います。
また、病院の診療についてのお知らせも更新していきます。随時ご確認下さい。
一部、写真説明が専門的な映像の場合がございます。苦手な方は、写真を(クリックして)拡大して見ることをお控え下さい。
★「休診のお知らせ」などは、 Twitter ロマノフ動物病院(@romanofahnotice)に更新しています。
トップ画面でもご確認できます。
★院長ブログはこちら。

ロマノフ通信
バックナンバー
記事一覧 | 年別ページ | |
---|---|---|
今年の内視鏡症例集 | 2010 | |
2011 | ||
2012 | ||
2013 | ||
2014 | ||
2015 | ||
2021 | ||
2022 | ||
2023 | ||
2024 | ||
2025 | ||
2022年12月12日(月)
今年の内視鏡症例集
今年の内視鏡症例集
今年も、あっというまに12月に入ってしまいました。今年の症例を振り返っていたところ、内視鏡のいくつかの症例を知っていただきたく、まとめました。ちょっとしたところに置いてあるゴムひもやゴム栓、ちゅーる、大きな種など、このまま様子を見たら危険な症例ばかりでした。早めに相談してもらえたので、当日日帰りで対応できています。もし、遅れたら、開腹手術が必要で、1週間の入院生活と治療が待っています。命にかかわることもあります。是非、教訓にしてください。
また、慢性嘔吐による症例で、内視鏡で診断がついた症例や、腹腔鏡による卵巣摘出の画像もありましたので、イメージを描く参考にしていただきたいと思います。
![]() |
ネイル用の使い捨て綿棒を食べてしまったとのことでした。胃内にあったのはスポンジがメインですが、まとめて流れると心配です。すべて摘出しました。 |
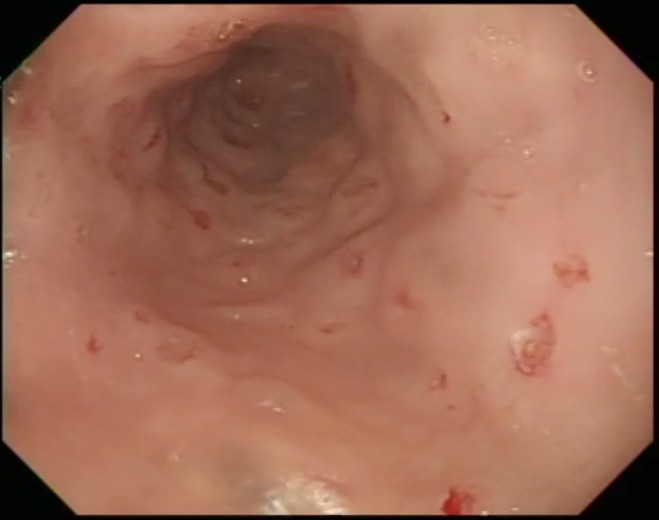
![]() |
数か月、嘔吐を繰り返していた猫ちゃんです。幽門洞(胃の出口の洞窟)が全体的に潰瘍化しています。バイオプシー(細胞診)で診断をして、内科治療で改善しました。 |
![]() |
この猫ちゃんも長毛種のリスクにより、毛玉が詰まってしまった子です。幽門洞につまっていた毛玉を摘出できました。 |
![]() |
この猫ちゃんは、土管状のプラスチックを飲んでいました。胃を出て十二指腸の入り口にはまり込んでいました。かなりきつくはまっていましたが、なんとか摘出できました。 |
![]() |
![]() |
このワンちゃんは、おやつでちゅーるを与えていたら、そのままくわえて持って行ってしまったそうです。その後、あとかたもなく・・・。食べてしまってから数日たちましたが便には出ず、空腹時に嘔吐を繰り返していました。 | ダックスフンドでしたが、その体格からでも、排出されませんでした。むしろ流れたときに、腸壁を傷つける可能性があります。待つことはお勧めしません。 |
![]() |
腹腔鏡(おなかの中)の映像です。腹壁に2個の穴をあけて、卵巣摘出を行います。 画面真ん中にある横長ピンクが子宮です。そこから卵巣の卵管・血管をシーリングの機械でシールして閉じてしまいカットした後、卵巣のみを摘出します(鉗子でつかんでいるのが卵巣)。 |