飼い主様へのお知らせを随時配信していきたいと思います。
また、病院の診療についてのお知らせも更新していきます。随時ご確認下さい。
一部、写真説明が専門的な映像の場合がございます。苦手な方は、写真を(クリックして)拡大して見ることをお控え下さい。
★「休診のお知らせ」などは、 Twitter ロマノフ動物病院(@romanofahnotice)に更新しています。
トップ画面でもご確認できます。
★院長ブログはこちら。

ロマノフ通信
バックナンバー
記事一覧 | 年別ページ | |
---|---|---|
年末年始は師走?! | 2010 | |
外耳炎が重くなると・・・ | 2011 | |
交通事故でイタタ | 2012 | |
アクシデントでイタタ | 2013 | |
2014 | ||
2015 | ||
2021 | ||
2022 | ||
2023 | ||
2024 | ||
2025 | ||
2015年06月15日(月)
アクシデントでイタタ
アクシデントでイタタ
この子も他院の紹介です。アクシデントにより、大腿骨(太もも)骨折で来院されました。昨年、手術を行いましたが、元気な子なのでプレート自体が折れてしまいました。
再手術によりプレート(ダブル)が安定し、今では普通にしている様子。チタンを使用していますが、骨折端の骨吸収がないかどうかの定期チェックです。
すでに半年が経ち、問題なさそうです。元気な子なので、普通に歩けることが幸せそうです。よかったね、ルフィちゃん!
手術で成功しても、その後の安静が大切です。
これは、性格だけではなく、骨折部位にもよります。
ギプス固定が効かない関節や骨に関しては、注意が必要です。
2015年06月15日(月)
交通事故でイタタ
交通事故でイタタ
先日、他院の紹介で来院されました猫ちゃんです。もともと野良猫さんなので、外でのアクシデントはつきもの。今回は、交通事故でしょうか、後肢が使えず来院されたそうです。
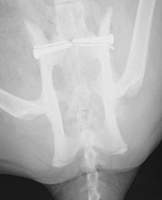
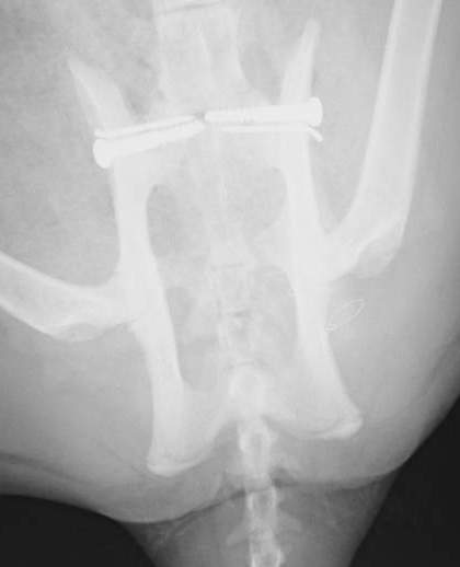
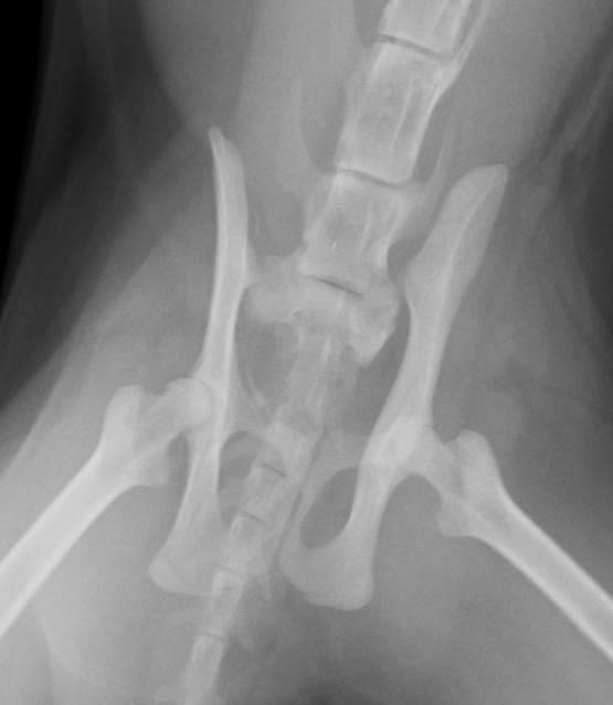
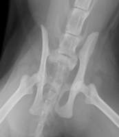
X 線を見せていただいたところ、骨盤の仙腸関節が左右で脱臼していることが判明、不幸中の幸いでしょうか、ほかの骨折は見当たりませんでした。数日間体調を確認してから、手術を行いました。腰の左右2ヶ所から整復した骨を無事留めることができました。仙骨というしっぽの付け根に当たる骨(中に太い神経が走っています)を、骨盤に左右からスクリューで留めることは、本来難しい手技ですが、今回はきれいに入れることができました。仙骨付近は、神経の分岐部が多くあるため、その後排尿障害や後枝麻痺など後遺症が残ることもあります。
数日して自宅安静で退院となりましたが、その際診察台からキャリーケースに普通に歩いていったのをみて、安心しました。今後は、室内で飼育していただけることになったので、こういった怪我もしなくなると思います。自宅のトイレでおしっこもできました。よかったね、ダヤンちゃん!
![]() |
![]() |
来院時、痛くてかなり鳴いていました・・・仙骨と骨盤が外れています。 | 左右からスクリューとピンで留めました。かなり安定して、痛みも数日でなくなったことでしょう。 |
2015年05月19日(火)
外耳炎が重くなると・・・
外耳炎が重くなると・・・
この季節、特に高温多湿の日本では、外耳炎はよくある病気です。軽く考えがちですが、悪化すると、命の危険もあるのです。
多い犬種としては、耳の入り口に毛が生える犬種として、シーズー・ヨーキー・トイプードルなどがあげられます。耳は、蒸れる(水)ことと耳垢(脂)・細菌(常在菌)がそろうことにより、感染を起こしやすくなります。アトピー体質の子でもかゆみの元になり、それが炎症につながります。
耳の入り口の通気性を良くし、定期的な耳掃除で汚れを落とすことが重要になります。
悪化すると、耳道が慢性炎症により石灰化を起こし、耳道軟骨が硬くなり、洗浄が困難になり、炎症が起き、耳道内が狭窄し・・・悪循環に陥ります。そうすると、耳の奥で菌が繁殖し、鼓膜を破り、内耳や中耳に炎症を起こします。神経症状を伴うことにもなります。抗生物質などを長期投与していると、耐性菌などが奥で繁殖していることもあります。悪化する程、触られることが嫌になります。
もし、慢性外耳炎の徴候があるようであれば、耳道切開手術を行い、外耳道の通気性を良くすることもできます。悪化してからでは、耳道切除という手術になり、耳が効かなくなることもあります。合併症の可能性もありますので、注意が必要になります。
今回の患者様は、原因が異なりますが、耳道の入り口付近に腫瘍(できもの)ができ、耳垂れがずっとでていたので、手術に踏み切りました。幸い、良性腫瘍が主だったため、耳道を取り除くことで命を取り留めることができました。もし、耳垂れがずっと続くと、痛みもでてくると思います。本人がいつも気にして、触るのもいやがり、生活の質が下がります。どんな症状でも、早めに相談して頂き、早期診断・早期治療をお勧めいたします。
よかったね、クッキーちゃん!
2015年01月30日(金)
年末年始は師走?!
年末年始は師走?!
明けましておめでとうございます。今年も宜しくお願いします、といってもかなり前のご挨拶ですよね。12月、1月は、とても忙しい日程で、ブログもおろそかになっていました。12月12日に開院5周年だったことを、飼い主様からお教えいただいた次第です・・・来院された中でも、ターミナルケアでご相談にのっていた患者様が数名いらっしゃいました。年末と年始とで、最期をむかえた方、もうひとがんばりしている方もおられます。特に、当院初診の方で高齢の方の場合は、今までの経過が(検査結果もなく)わからず、こちらとしてもアドバイスが少なくなってしまう傾向にあります。もう少し早い段階でご相談いただけると検査、治療の幅が広がります。それにしても、18歳のワンちゃん(中型犬)や猫ちゃんも多く、皆様ケアを頑張られていると思います。
当院でも、その子その子での最善をご提案したいと思います。
私事ですが昨年は愛猫のクロが(闘病の末)亡くなったのですが、年賀状を出してしまいました・・・あけましておめでとうといってしまいました・・・クロ、ごめんね、でも天国でたらふくごはんを食べてたのしく暮らしているよね。かけがえのない家族が亡くなるとさみしくなりますね。今でもたまに、子供(5歳)が思い出して涙をみせると、みんなから忘れられていない存在だったのだと嬉しくもなります。